柏市 柏駅東口近くの歯科・歯医者なら柏パール歯科クリニック

〒277-0014 千葉県柏市東1-2-6 ルネス・フィエスタ1階南
柏市 柏駅(JR常磐線・東武野田線)東口より徒歩9分

診療時間
9:00~12:30 × ×
14:00~18:00 × ×

△:14:00~17:30
休診日:木曜・日曜・祝日

ご予約・お問合せはこちらへ

お問合せはこちら※準備中

当院で扱っている義歯・入れ歯・ブリッジについて

義歯(入れ歯)の種類

保険でできる入れ歯
  • レジン床

保険が適用されるので経済的です。プラスチックでできた入れ歯です。

しかし、保険診療では材質、形態などに制限があり、自費診療のものより床が厚くなり重くなる為、部分入れ歯の場合は、残りの歯の寿命を短くすることがあります。

自費でできる入れ歯

ブレードティース ~多くの歯がない方向け~

  • アワビも沢庵もかみ切れると言われるほどの人工臼歯

クリックすると画像が大きくなります

入れ歯の患者さんは、昔のように堅めのせんべいや沢庵、ましてやアワビの刺身なんて食べることはできません。

食べたいけど通常の入れ歯だと、噛み切るためには作られていない(言わばまな板のような、上下共に歯の形が平らな接触面で作られている)ため、あきらめている人がほとんどだと思います。でも、これからはあきらめなくてもいいんです!

ブレードティースという義歯を用いた入れ歯を使えば、軽い力でせんべいやピーナッツ、あのアワビの刺し身等も、かみやすい。仕組みは簡単。

入れ歯の奥歯部分に食べ物をかみ切りやすくする金属を取り付けます。力が効率よく伝わるように設計された人口の歯です。

そこに下顎の義歯にまな板のような歯を装着すれば、サクサクと噛み切っていけるのです。

もちろん誤って舌を噛んだとしても、舌が切れるということはない設計になっています。

もう一度、昔好きだった食べ物、今はもう義歯だからとあきらめたあの好物が、 食べられるようになる可能性が十分にあります。お気軽にお問い合わせください。

ノンクラスプデンチャー ~1-2本無い方に院長おすすめの入れ歯~

ノンクラスプデンチャーとは名前の通り「ノンクラスプ(ばねの無い)」「デンチャー(入れ歯)」のことです。

金属のばね(歯に引っかけたりする部分)を使用しないので、見た目に入れ歯とわかりずらく審美性に優れ、

義歯床の厚さを薄くできるので違和感が少なく金属アレルギーの方にもお勧めです。

  • バルプラスト

最も歴史のあるノンクラスプデンチャーで、ノンクラスプデンチャーの代名詞的な入れ歯です。保険を用いた義歯よりも軽く、ご自身の歯にかかる力の調整もとても細かくできる(当医院では)ことから、残っているご自身の歯の寿命を延ばすことが可能です。

  • エステショット

ポリエステルでできたノンクラスプデンチャーです。

吸水性が低く、比較的汚れやにおいのつきにくい入れ歯です。

柔軟性があり、お口の中での違和感を極力低減できます。

金属床

金属床は入れ歯の骨組みに金属を用いた入れ歯のことをいいます。

レジン(プラスチック)に比べ丈夫な金属を使うことで、非常に薄く作ることが可能で、お口の中での違和感が軽減されます。

また、しっかりと固定され、たわみにくい、丈夫な入れ歯を作ることが出来ることで、しっかり食べ物を噛んでいる感じがでます。

食べ物の温度も伝わるので、食事を楽しむことが出来ます。

  • チタン床

チタンは、人工関節やインプラントなどに用いられる金属です。

安定した皮膜に包まれており、金属の消耗や溶け出すことが無いのでアレルギー等が発生することが極めて低く、金属のコップで水を飲むときの様な金属特有の味がしないので、味覚の違和感が少なくお食事を楽しむことが出来ます。一般的に入れ歯に用いられる金合金の約1/4の重さでとても軽くしなやかです。

コバルトよりも軽くなりますが、作成するのが困難な為コバルトよりも少し高価になります。

  • コバルト床

金属床義歯としてコバルトクロム素材は最も歴史のある素材です。

厚みがレジン床の約1/5と薄く、口の中に入れてたときの違和感が少なく、食事の際も熱がよく伝わります。

丈夫で、永く快適にご使用頂けます。

その他の入れ歯

  • マグネットデンチャー

マグネット(磁石)を使った入れ歯です。

残っている自分の歯、もしくはインプラントに、体に優しいキーパー(磁石につく金属)を装着し、磁石の力で入れ歯を固定します。

バネや複雑な装置がないシンプルな構造なので、掃除なども楽にでき、見た目にも違和感がありません。

  • コンフォート

歯ぐきと当たる部分に、生体用シリコンというクッションを入れた、新しい入れ歯の技術です。

生体用シリコンの弾性が、入れ歯でグッと噛んだときの歯ぐきにかかる負担を和らげ、またあごの横の動きにも抜群の吸着力を発揮します。

ブリッジ

抜けた歯がまだ1~2本くらいで、その前後に健全な歯がある場合は、その歯を利用して橋を渡すようにダミーの歯を作って噛めるようにするのがブリッジです。

メリットとしては、例えば奥歯に白い歯で入れたいなどの特別な要望以外は保険が適用できる為費用が安く済む事と、割とスピーディに形成できる事です。

逆にリスクとしては、ブリッジをするためには抜いた歯の前後の歯を支えにしてかぶせて固定するため、前後の歯を削らなければならなくなります。

前後の歯が健全歯の場合でも削る必要が出てくると言う事です。

当然削った部分は元には戻りませんから、リスクと言えばそうなのですが、そのリスクよりもメリットが大きいと判断された場合に行なう方法です。

ブリッジの種類

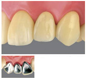
素材名 硬質レジン(裏側が大部分金属)
適応 保険(前歯部のみ)
説明 保険で作れるブリッジです。裏側は金属でできており、表面はプラスチックでできています。
安価ですが、プラスチックなので変色しやすく摩耗・破損などのデメリットがあります。
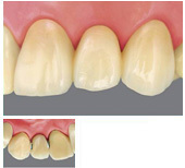
素材名 メタルボンド(セラミック焼付金属裏装)
適応 自費
説明 メタルボンドとは中身は金属で、外から見える部分にのみセラミック(陶器)を貼り付けたものです。
見た目がよく、強度もあるのでよく使用される素材です。
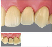
素材名 オールセラミック(ジルコニア)
適応 自費
説明 全体が白いセラミック素材のブリッジです。全体がセラミックのため、透明感があり自然の歯の色に近い素材です。素材がセラミックのため、欠けたりすることがないとは言えませんが最近はジルコニア等の強度の高い材料により壊れにくくなっています。
パソコン|モバイル
ページトップに戻る